오늘은 치과의 중요성!!! 정기검진의 중요성!! 내 본래 치아와 잇몸의 중요성!!!!!
에 대한 저의 처절한 후회와 눈물을 담은 포스팅입니다ㅠㅠ 흑ㅎㄱ흑..ㄱ흑ㅎ끄흑
병원 중에 치과를 제-일 싫어하는 저는
정기 검진을 가야 한다는 걸 알면서도 치과 방문을 차일피일 미루다
몇 년 전 때워놓았던 부분이 깨져서야 치과를 방문하게 되었습니다... (증말 부끄러운 과거의 나..ㅠ)
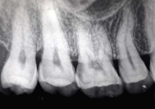
X-ray 사진을 찍고, 설명을 듣는데 제 잇몸 상태가 나이에 비해 많이 안 좋고 꽤나 내려앉아 있는 상태라고 하더라구요...ㅠㅠ
그리고 그 원인은 잘못된 칫솔질로 인한 치석 때문...!
사실 몇 년 전 사랑니 때문에 방문했던 다른 치과에서도 잇몸이 내려앉는 중이라는 이야기를 듣긴 했지만
그냥 내 본래 잇몸 자체가 약해서라고만 생각했지 정확히 어떤 것이 원인인지 생각해 본적도 들은 적도 없었어요...
저의 처참한 잇몸 x-ray를 보고 집으로 돌아오는 길이 어찌나 어찌나 우울하던지...ㅠㅜㅠㅠ 치아랑 잇몸은 재생도 안되는데...
잇몸이 안 좋으면 임플란트고 틀니고 아무것도 할 수 없다는데ㅠㅠ 꺼이꺼이꺼이
저처럼 소 잃고 외양간 고치지 마시라고 열심히 정보를 모아 모아 포스팅해봅니다!!

☻ 순서 ☻
1. "잇몸이 안 좋다"는 무슨 말일까요?
2. 잇몸 내려앉음 증상의 원인은?
3. 잇몸 내려앉음 증상의 치료법은?
4. 스케일링을 하면 치아가 갈리고 치아 사이가 벌어지나요?
5. 치석은 어떻게 예방할 수 있을까요?
1. 잇몸이 안 좋다?
혹시 저처럼 잇몸이 안 좋다는 말을 들어보신 적 있으신가요?
잇몸이 안 좋다는 말은 치아 주위 잇몸에 염증이 생겨서 잇몸이 서서히 녹아내리고 있다는 말입니다!
잇몸이 안 좋다 = 잇몸병 = 치주염(치아 주위의 염증) = 풍치(바람 풍, 치아가 시릴 때, 치아에 바람이 든다) = 모두 같은 말!
2. 잇몸 내려앉음 증상, 치주염(잇몸병)의 원인?
이런 치주염의 가-장 큰 원인은 바로 "치석"!!

음식을 먹고 나면 양치를 열심히 하더라도 치아와 잇몸 사이, 치아와 치아 사이에는 음식 찌꺼기가 남아있고 쌓이게 됩니다.
그리고 이것을 "치태"라고 합니다.
그 "치태"가 침 속의 칼슘, 인산과 만나면서 돌처럼 굳어진 것이 "치석"입니다.
이렇게 생성된 치석은 쉽게 제거되지 않습니다.
치석에는 많은 세균이 번식 중인데, 이 세균 때문에 잇몸에는 염증이 생기고, 붓고, 피가 나는 상태가 되는 것입니다.
(저는 그것도 모르고.. 칫솔질 때문에 피나고 아픈건 줄 알고 더 살살 닦았는데 오히려 그게 치아, 잇몸 건강에 최악이었던 거였어요ㅠㅠㅠㅠ. 덕분에 충치까지 덤으로 얻었답니다^^하...! 하지만 피가 나는 이유는 치석이 유발한 잇몸 염증이 원인이라 더 깨끗이 잘 닦아줘야 했던 거였습니다... 흑)
그리고 이 것을 그대로 둔다면, 염증과 자극에 의해 잇몸은 점점 녹아내리게 됩니다.
잇몸이 심각하게 내려앉으면 뿌리가 드러나게 되고, 치아가 흔들리고, 발치까지 해야 하는 상황이 발생합니다ㅠㅠ..
대부분의 사람들이 이를 뽑게 되는 가장 큰 원인이 충치 때문이라고들 많이 생각하시는데요,
이를 뽑게 되는 원인의 1위는 압도적으로 "치주염(잇몸병)" 때문이라고 합니다.
3. 잇몸 내려앉음 증상, 치주염(잇몸병)의 치료법?
치주염의 치료 방법은 "스케일링"입니다!
치주염을 치료하려면 치주염의 원인인 치석을 제거해야 하는데요, 이 치석들은 스케일링으로 제거 가능합니다.
그리고 치석이 쌓인 정도에 따라 스케일링 치료법도 조금씩 달라지게 됩니다.
1. 치석이 살짝 경미하게 쌓여있는 상태 : 큐렛이라는 도구로 치석을 긁어내거나, 많이들 아시는 초음파 스케일러로 치석을 제거할 수 있습니다. (치은연상 치석제거술) 가장 보편적으로 많이 하는 기본적인 스케일링입니다!
2. 치석이 많이 쌓이고 잇몸 내려앉음 증상이 진행되고 있는 상태 : 뿌리 깊이까지 쌓여있는 치석들을 제거하기 위해 잇몸 치료가 필요합니다.(치은연하 치석제거술) 잇몸치료는 마취도 필요하고 시간이 오래 걸리는 치료법이라 보통 4-6번에 나눠서 치료하게 됩니다.
3. 치석과 염증이 잇몸 깊숙이 쌓여 잇몸 내려앉음 증상이 많이 진행된 상태 : 눈으로 보이지 않는 잇몸 깊숙한 곳의 염증과 치석을 제거하기 위해 잇몸을 절개하는 잇몸 수술이 필요합니다. (치은 박리 소파술)

▲ 치아의 3분의 2를 덮고 있는 건강한 잇몸


▲(좌) 건강한 잇몸/ (우) 이미 많이 내려앉은 잇몸

▲ 이렇게 잇몸이 내려앉게 되면 미관상으로도 좋지 않은 것 같아요ㅠㅠ..
4. 스케일링 때문에 치아 사이가 벌어지고 치아가 갈린다?
정답은 X!
치아와 잇몸 사이에 쌓인 치석은 잇몸의 염증을 유발합니다.
염증 때문에 자극받은 잇몸은 녹아내리게 되고, 그로 인해 치아와 잇몸 사이에 틈이 생기게 됩니다.
그리고 그 빈 공간을 점점 더 많은 치석이 채우게 됩니다. (이렇게 악순환이 반복되는 거죠...ㅠ)
그 상태에서 스케일링으로 치석들을 모두 제거하면 치석으로 채워져 있던 빈 공간이 다시 드러납니다.
그래서 많은 분들이 스케일링 때문에 치아나 잇몸이 깎인 것처럼 느끼게 되는 거라고 합니다!

▼ 유튜브를 찾아보다 치아가 실제로 갈리는지 실험한 영상을 발견했어요! 유익유익
https://www.youtube.com/watch?v=bhT-dC_SzQc&list=PLJB-40SLs-aEuCj06u120BE64zLtayc3S&index=7
5. 그렇다면 치석을 예방하는 방법은?
치석을 예방하기 위해서는 정기적인 스케일링(6개월-1년에 한 번씩), 양치, 치실, 치간 칫솔, 워터픽 등이 있습니다.
그중에서도 많은 치과 의사 선생님들이 양치와 치실을 추천하시더라구요!
저도 치과에서 처참한 경험을 하고 돌아온 날 저녁부터 양치+치실(가끔 +가글) 루틴으로 치아 관리(소 몇 마리 잃고 외양간 고치기)를 하고 있습니다ㅠㅠ!!


처음 치실을 사용할 때는 피도 나고 아프고 간질간질 간지러움도 있었어요...
그래서 치실도 올바른 방법으로 사용해야겠다는 생각에 또 정보를 뒤져봤습니다.
(결론은, 양치나 치실을 사용할 때 피나고 간질거리는 것은 정상적인 것! 염증 때문! 꾸준히 하다 보면 염증이 제거되고 붓기가 빠지면서 피도 나지 않게 됨!)
제가 정보를 찾아보면서 많은 치실 영상들을 봤었는데 그중에서 정말 괜찮았던 영상들 몇 개 공유해드릴게요!!
▼ 기본적인 치실 사용법
https://www.youtube.com/watch?v=RsjgzRcfqrc&list=WL&index=25
▼ 치실 사용 주의사항(잘못된 치실 사용으로 신경까지 손상된 사례), 실제 치아 리얼한 치실 시연
https://www.youtube.com/watch?v=D6OnW-Opark&list=PLJB-40SLs-aEuCj06u120BE64zLtayc3S&index=4
▼ 치실 사용 주의사항(때운 곳들이 빠질 수 있음, 잇몸에 치실 자국)
https://www.youtube.com/watch?v=6fbkWA5Wdds&list=PLJB-40SLs-aEuCj06u120BE64zLtayc3S&index=6&t=38s
그럼 치과에서 보내 준 스케일링에 관한 카톡으로 마무리하겠습니당!
증말 아는 것이 힘입니더... 지금부터라도 있는 치아, 잇몸 관리 예쁘게 잘해서 평생 써요 우리-!!!



'뭐든 리뷰 > 생활' 카테고리의 다른 글
| 비글부부 한끼대용 잔소리 맛 내용물 칼로리 영양 정보 (1) | 2021.07.06 |
|---|---|
| GS25 냉모밀 리뷰/ 메밀? 모밀? 차이점은? (3) | 2021.07.05 |
| 우유없이 요거트로 그릭 요거트 만들기 시간단축 팁 (2) | 2021.06.28 |
| 화장실까지 예쁜 가성비 굿 복층 숙소 창원 에어비앤비 추천 (0) | 2021.06.26 |
| 뷔페 맛집 예쁜 결혼식장 창원 힐스카이 웨딩 추천 리뷰 (1) | 2021.06.24 |
댓글